¿Dolor en la parte de atrás de la boca? Descubre si son las muelas del juicio
El dolor en la parte posterior de la boca es una de las molestias más comunes en pacientes jóvenes y adultos. En muchos casos, este dolor está relacionado con la erupción de las muelas del juicio, también conocidas como muelas cordales. Pero, ¿siempre es necesario extraerlas? Aquí te lo explicamos.

¿Qué son las muelas del juicio?
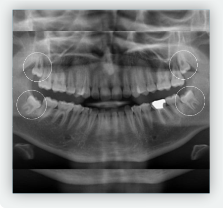
Las muelas del juicio son los últimos dientes en aparecer, generalmente entre los 17 y 25 años. Debido a la falta de espacio en la mandíbula, muchas veces no logran erupcionar correctamente.
Síntomas más comunes de las muelas cordales
- Dolor en la parte posterior de la boca
- Inflamación de encías
- Dificultad para abrir la boca
- Mal aliento o sabor desagradable
- Presión sobre otros dientes

¿Cuándo es necesario extraer las muelas del juicio?
La extracción es recomendada cuando:
- No hay espacio suficiente
- Están retenidas o impactadas
- Generan dolor o infecciones
- Afectan dientes vecinos
- Existe riesgo de daño óseo
¿Cuándo NO es necesario extraerlas?
No siempre es obligatorio retirarlas. Si las muelas están bien posicionadas, sanas y no generan molestias, pueden mantenerse bajo control con revisiones periódicas.
¿Qué pasa si no se tratan a tiempo?
Ignorar el problema puede generar:
- Infecciones recurrentes
- Daño a otros dientes
- Quistes o problemas óseos
- Mayor complejidad en la cirugía futura

¿Cómo es el procedimiento de extracción?
Lo primero que debes hacer es agendar una cita de valoración con nuestro especialista en cirugia oral y maxilofacial; el Dr. Felipe Naranjo, el realizará una valoración clínica de tu caso, y con la ayuda de radiografias realizará la extracción de las piezas en caso tal que sea necesario. La extracción de muelas cordales es un procedimiento seguro, realizado bajo anestesia local, con técnicas modernas que minimizan el dolor y aceleran la recuperación.
Sedación consciente: una alternativa segura para pacientes con ansiedad
Para muchos pacientes, especialmente aquellos que presentan ansiedad o temor al tratamiento odontológico, procedimientos como la extracción de muelas del juicio pueden generar preocupación.
En Clínica Ártica contamos con la opción de sedación consciente, una alternativa segura que permite al paciente mantenerse relajado durante todo el procedimiento, sin perder completamente la conciencia.
Este tipo de sedación ayuda a disminuir la ansiedad, mejora la experiencia del paciente y permite al especialista trabajar en condiciones óptimas, garantizando un procedimiento más cómodo, controlado y seguro.
Además, la sedación consciente es administrada por profesionales capacitados y bajo estrictos protocolos clínicos, lo que brinda mayor tranquilidad tanto al paciente como a su familia.
¿Por qué acudir a un especialista?
Un diagnóstico adecuado es clave para decidir si se deben extraer o no. En Clínica Ártica contamos con especialistas en cirugía oral y tecnología avanzada para evaluar tu caso de manera precisa.
¿Sientes molestias o quieres evaluar tus muelas del juicio?
Para mayor información sobre muelas cordales o muelas del juicio, contáctanos
Mayor Información
PBX: (+57)6044484847
Whatsapp Messenger: +573216423818
Escríbenos: info@clinicaartica.com

